Baja Laboral Por Fractura De Coxis. WebEl tiempo de recuperación de una fractura de coxis depende de varios factores, como el grado de la fractura, la edad y el estado físico general de la persona. En general, el tiempo de recuperación promedio es de entre 6 y 12 semanas. baja laboral por contractura. WebLa fractura es la la ruptura de un hueso, y se encuadra entre las patologías traumatológicas ya que suelen derivarse de un accidente laboral o accidente no laboral.Una fractura. .
WebCómo curar un coxis magullado en casa. Fractura del coxisEl coxis se encuentra en la parte inferior de la columna vertebral. Es posible que se rompa (fracture) este hueso cuando. WebTratamientos conservadores para el cóccix fracturado: El primer paso para controlar el cóccix fracturado es calmar el dolor hasta que el proceso de curación de los. WebEl principal tratamiento para la fractura de cóxis son los medicamentos para el dolor. Usualmente no se inmoviliza esta fractura dado la cantidad de huesos. WebMasajear los músculos unidos al coxis puede ayudar a aliviar el dolor. La manipulación se realiza típicamente a través del recto. Medicamentos. La inyección de. WebUna lesión dentro del cóccix puede ser muy dolorosa y lenta como para curar. El tiempo de sanación como para este mismo tipo de lesiones depende de su gravedad. Si tiene una. WebBaja laboral por fractura de coxis. Escrito por Andres Bermudez diciembre 21, 2022. La fractura de coxis es una lesión en una o más de las vértebras que forman.
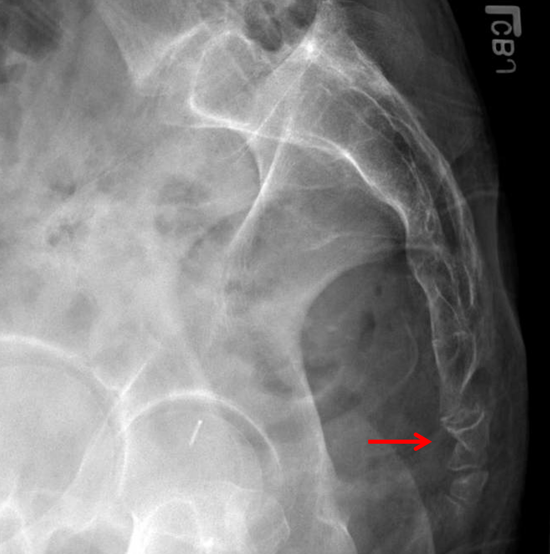
¿Qué hacer ante un golpe en el coxis o rabadilla? - Mejor con Salud
WebMasajear los músculos unidos al coxis puede ayudar a aliviar el dolor. La manipulación se realiza típicamente a través del recto. Medicamentos. La inyección de. WebUna lesión dentro del cóccix puede ser muy dolorosa y lenta como para curar. El tiempo de sanación como para este mismo tipo de lesiones depende de su gravedad. Si tiene una. WebBaja laboral por fractura de coxis. Escrito por Andres Bermudez diciembre 21, 2022. La fractura de coxis es una lesión en una o más de las vértebras que forman. WebSi el accidente de trabajo se ha producido en los últimos 3 años y has sufrido una fractura de coxis por causas ajenas a tu voluntad, podrías tener derecho a reclamar. WebBaja laboral por fractura de coxis. Marlene Ponce agosto 14, ... Si el accidente de trabajo se ha producido en los últimos 3 años y has sufrido una fractura de. WebExpte. N° 78939/2017 de la Justicia Nacional del Trabajo, donde se determinó una incapacidad del 52,58% por lo que la indemnización actualizada a febrero 2023 equivale. Web* Diagnóstico: Coccigodinia tras fractura de coxis * Limitaciones: coccigodinia mantenida tras fractura coxigea * No procede baja 21. HOSPITAL DE MANISES. URGENCIAS. 17. Webtiempo de baja laboral por operacion de varices. Si el dolor resultante de una caída en el coxis es leve, el dolor generalmente desaparecerá en unos pocos días. Sin embargo, si. WebNormalmente se opta por un tratamiento conservador, son raros los casos quirúrgicos. El tratamiento quirúrgico es realizado cuando la fractura no se ha reducido y.



